What if you removed your wisdom teeth?
Are you screwed? No, but there are some things to understand.
“I removed my wisdom teeth. What should I do?”
This is a question I get a fair amount and so I figured i’d knock it out with a blog article so that I can just forward to folks.
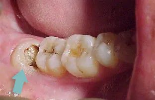
Lots of young folks had their wisdoms removed. I had mine removed in my early 20’s. Typically there just isn’t space for them to come in as in the pic above.
Some folks get them removed and then find out later about the detrimental effects of extractions and so they rightfully get concerned.
Let me provide my point of view.
First, always try to avoid removal of any teeth
Teeth are extremely important for structural reasons IF you are on your natural occlusion.
Let me explain what I mean.
The minute you take out a tooth, especially a very big one like a wisdom tooth, the rest of the teeth begin to move a bit as there is now extra space. It’s just physics at work given the forces that are subjected to them constantly.
And generally things will collapse inwards. An analogy i’ve made in the past is an old fortress that has multiple walls that attacking invaders need to get over.
Each tooth you take out is kind of like allowing the invader make it through one wall and so now your’e holding them off on the next innermost wall.
The same sort of happens with your teeth as things collapse inwards when you remove teeth. Also, even more importantly, is that the curve of spee I talk about flattens a bit.
And so there will be impact on the skull and spine. Maybe not immediately but over time it will almost always happen.
Why did i say “if you are on your natural occlusion”?
This is an important point to understand. This process I describe above happens if you’re occluding constantly on your natural teeth without any ‘structural supports’.
Structural supports are things like:
A mouthguard like the RevivOne that you’re wearing at night and a bit during the day
A flat plane splint
Adding composite to one of the teeth and making it flat
Any of these above structural supports will basically stop the collapse inwards i talk about above from happening.
Think of it a bit like holding the Leaning Tower of Pisa up with a structural support. It will prevent it from further collapsing.
There are cases when a tooth needs to come out
Some folks write to me and tell me they have a rotten tooth they need to take out. And they’re very worried because of the collapse i’ve talked about.
In these cases you pretty much need to take the tooth out if it can’t be saved. As there is no way of saving it.
And you can do so WITHOUT any structural damage as long as you wear one of the structural supports I mention above.
It is like scaffolding that allows you to remove one of the structural supports without the building collapsing further.
And as long as you continue to have this support in the future there will probably NEVER be any collapse that happens. Thus there will never really be any negative repercussion for having taken that tooth out.
There are even more cases when the tooth does not really need to come out
Many times teeth are taken out because there is not enough space. And this is where my next question is…
Is it painful?
If it is not painful than you are not under any time pressure. And thus it is much better to stretch everything out with a mouthguard like the RevivOne.
The arches will expand, the rest of the teeth will move to take up this new arch space, and little by little space will be made so that the tooth can erupt correctly. Or if it is crooked it will straighten.
This might take time… even a couple years. But it will happen eventually as long as you stick to these simple biomechanics.
What if you already had some teeth taken out?
This is another question i get from a number of folks that had extractions. They think they are eternally screwed if some teeth are missing.
And what I tell them is… calm down, you will be fine.
Even if things collapsed in a bit and the curve of spee flattened, you can reverse the damage by using one of the structural supports I’ve mentioned above.
I’ve met some people with amazing body and skull structure that were missing loads of back teeth. Particularly when you look at native tribespeople like in the pic above you’ll see tons of examples of this.
At first it perplexed me because the person obviously has no curve of spee as the back teeth are missing.
But then I realized that the front teeth are still holding up a certain amount of vertical height and therefore there is a ‘virtual curve of spee’ that is there and is being held in tact by maintaining that vertical.
Very similar to how I put flat composite on my 10-year old’s last lower teeth 3+ years ago and it’s the only contact in his mouth. And his ‘virtual curve of spee’ is improving constantly because of this increased vertical.
Meaning that if I removed the composite you would see that the plane of the upper teeth (representing the new curve of spee) is very different from the plane of the lower teeth (representing the old curve of spee).
Closing thoughts
You should think of your mouth and teeth like this fortress with multiple walls of protection that I alluded to earlier.
Each time you take a tooth out you’re letting the invaders come to the next most inner wall. Because things collapse inwards.
That is until you put a structure support like a mouthguard (eg. RevivOne).
That is the equivalent of sticking a moat around your fortress and filling it with burning oil. The invaders are no longer going to advance and in fact you’re gonna start pushing them back wall by wall till they’re out of your fortress.
So don’t worry about getting expensive implants, etc. It’s not needed.
Rather just use a structural support that leverages the body’s natural biomechanics.










Thanks Ken another very interesting post 👍
Hi Ken, had a question: How do you explain that these so called 'natives' do not lose their function as their teeth fall out? I don't understand what you mean by saying that they remain to have a 'virtual curve of spee' due to their front teeth. Why would people who had extractions done by a dentist or orthodotnist not have this virtual curve of spee as well?