Does a flat mouthguard straighten the teeth?
Yes and I'll explain why.
Youtube
I’ve gotten a number of questions from folks about whether Reviv will straighten the teeth.
Or whether Reviv is ok to use if you have crooked teeth?
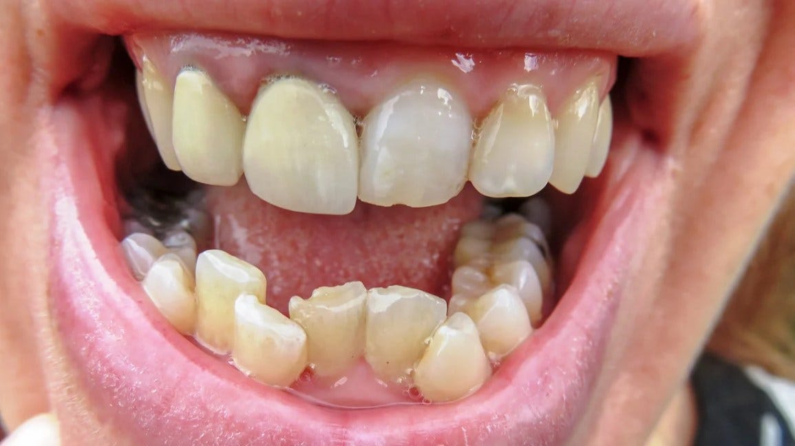
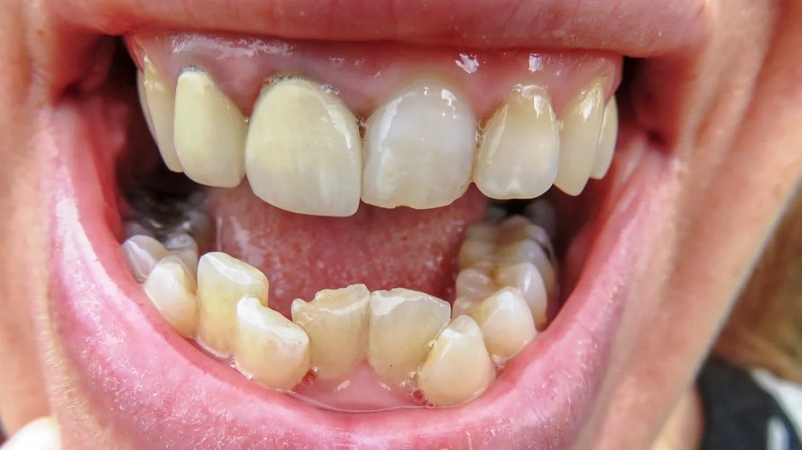
Or does Reviv leave ugly gaps in the teeth?
And so I figured i’d address these questions in a post with my point of view.
Why are teeth crooked?
In my view teeth are crooked for one main reason.
A lack of real estate.
For example in the upper arch if there was enough real estate and the tongue was correctly positioned than all of the teeth would line up nicely around the tongue.
Because the tongue has more than enough force to move a tooth.
You need to create more real estate
So why isn’t there enough ‘real estate’ in your palate?
Well that question is not an easy one to answer because it’s multifactorial but I do not think it is genetic.
Rather your development was likely cursed from the time you were born. In that the compensations of your mother were likely passed on to you while you were still in the womb.
Not because they were genetic, but rather simply because she also was twisted and therefore you came out a bit twisted.
In any case… as time went on you didn’t get the full proper extrusion of teeth or expansion of the arches. And so the jaw never developed to the extent that it was genetically programmed to.
And you were left with a lack of real estate problem. The question is how do you create more?
The WRONG way to create more real estate in the jaw
The wrong way is to do things like orthodontics that do not work via the soft tissue.
Things like palate expanders, which I talk about here:
Or braces.
These appliances tend to just move teeth around without inflating the skull and creating space the right way.
And by ‘right’ way I also mean.. the way that will actually stand the test of time and be healthy.
Remember that you cannot just change the palate without changing the entire skull. It is all attached.
And so the only way to truly create more space in the palate is to expand the entire skull.
How does Reviv create more real estate?
Reviv creates more real estate the right away…. by inflating the skull. Almost like taking an air pump to the skull.
It takes time and will be slower than orthodontics, but it is worth the wait. Because things will hold up and look correct.
As opposed to things like braces and palate expanders where the minute you take the appliance off everything moves back.
And the problem is less that the teeth will move back.. it is that you never inflated the skull to begin with. And therefore this forced movement of teeth probably created more assymetry in your face and body.
With Reviv there is no retainer needed at the end. Arches will expand, a curve of spee will be formed, and if you do it long enough… you should have nice beautiful, straight teeth in the end.
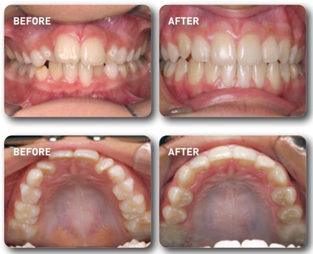
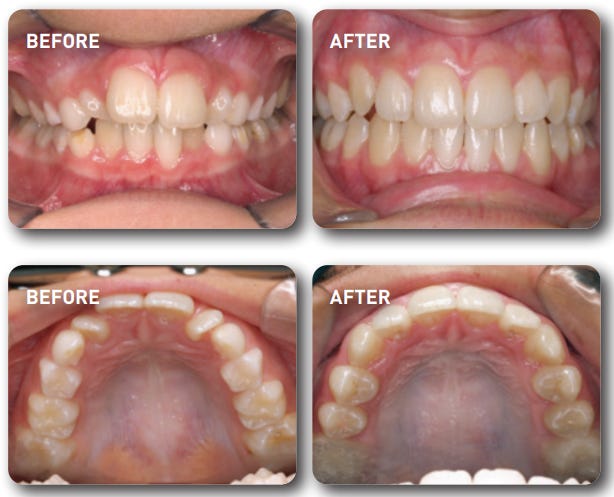
Myobrace is a 30+ year case study in how this works
Folks ask me if I have some pictures to share of Reviv straightening teeth and it’s only been operating since Fall of last year I don’t really have good ones to show.
Plus i never really had crooked teeth… rather i had other issues.
But I also feel like this is not something I need to prove. It’s already been proven for me.
By our predecessor, Myobrace, who has been operating since 1989 (for 30+ years). If you get onto Google you will find tons of before and after photos of Myobrace straightening teeth and widening arches.
Particularly on kids as the brand has mainly focused on kids.
And to be honest…. a Reviv is pretty much the same appliance as a standard Myobrace. I came up with the idea for Reviv because I used a Myobrace A1 on and off for almost a decade.
Will this fix gaps in the teeth?
Another question i get is whether Reviv will fix gaps in the teeth. And i always hesitate to answer questions like this because I am not a dentist and not an expert in how teeth move.
But in my limited experience when you do things the right way (via the soft tissue) things typically look pretty natural and good at the end.
The biomechanics just seem to move the teeth in such a way that there are typically not any weird gaps between the teeth.
But if you had teeth removed or have other non-standard situations than this might not be the case for you.
So don’t quote me on it :)
Closing thoughts
Straightening teeth is the primary use case of Myobrace for over thirty years.
A Reviv functions very similar to a Myobrace. As does pretty much any mouthguard of this kind.
Because there are only two main physics involved:
Add ‘vertical’ (space b/w upper and lower teeth)
Unlock the occlusion (ie. teeth don’t come together in a fixed position)
And both appliances do this.
So yes…. Reviv straightens teeth and does it the ‘correct’ way, which is via the soft tissue. It inflates the skull, which then expands the palate naturally.









I bought a revive a few months ago and have been wearing it here and there. Last night I actually slept in it all night thinking it would be good for my tooth grinding issues that have caused gum recession and shockingly this morning my bottom front teeth that have become crooked over the years (I'm 53 and had 3 years of braces as a teen) are much more in line and my jaw was naturally falling into a much better position than what it ever has before! I am certainly motivated to wear this thing as much as possible now!
Before I started using Reviv as I have detailed many times before I had a terrible problem with my right eye and temple from an old injury and I seriously felt like my eye socket was collapsing. Since using the mouthguard this has completely disappeared and my skull feels more inflated and feels amazing 🤩. I also noticed just before using the Reviv that my teeth had started to go crooked 😱. One of my front teeth has started to push the other one out of the way and was starting to overlap. Also my bottom teeth at the front which had always been straight were crooked 😱it must have happened slowly but I didn’t notice at first 😱.
After using Reviv for 2 months my front teeth are back to normal 😱and my bottom teeth are much improved. Omg 😬 absolutely amazing. So the answer is YES 👍 definitely 💯 the mouthguard definitely straightens teeth 🦷.
Once again thank you Ken for sharing your knowledge and experience 🙏